Skip links

Dentadura

Odontología protésica

Dentadura

Conjunto de dientes artificiales que reemplazan todos los dientes en un arco (superior o inferior)

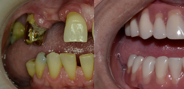
Las dentaduras son un conjunto de dientes artificiales utilizados para reemplazar dientes perdidos en la boca. Pueden referirse a dentaduras completas, que reemplazan todos los dientes en un arco (superior o inferior), o dentaduras parciales, que reemplazan solo algunos dientes en un arco. Las dentaduras están diseñadas para restaurar la función masticatoria y mejorar la estética de la sonrisa, permitiendo a las personas hablar y comer con mayor comodidad. Generalmente, están hechas de materiales como resina acrílica o una combinación de metal y plástico para proporcionar durabilidad y una apariencia natural.

Dentadura

Beneficios

Restauración de la función masticatoria

Las dentaduras permiten a las personas masticar y comer alimentos de manera más efectiva, mejorando su calidad de vida y nutrición.

Mejora estética

Las dentaduras restauran la apariencia de una sonrisa completa, lo que puede aumentar la confianza y la autoestima de la persona.

Facilidad de uso

Las dentaduras son fáciles de quitar y poner, lo que permite a los usuarios limpiarlas y cuidarlas adecuadamente. Es la opción más económica para reemplazar varias piezas dentales faltantes.

¿Cuándo acudir al odontólogo?

Visitar regularmente al dentista es lo recomendado.

  • Pérdida de múltiples dientes
  • Dificultad con dentaduras tradicionales
  • Pérdida de densidad ósea
  • Dificultad para masticar o hablar
  • Necesidad de una solución duradera y estable
  • Preocupaciones estéticas
Dentadura

Consecuencias

La ausencia de dientes puede dificultar la masticación de alimentos y afectar la capacidad de hablar con claridad.

La pérdida de dientes puede llevar a cambios en la apariencia facial, como mejillas hundidas o pérdida de definición de los labios.

No reemplazar los dientes perdidos puede llevar a problemas adicionales, como el desplazamiento de los dientes adyacentes y una mayor probabilidad de enfermedad periodontal.

¿Que incluye el servicio?

El tratamiento es indoloro. Si la prótesis es convencional, se toman impresiones con un material especial para ser enviadas al laboratorio. En caso de que la prótesis sea digital, se realiza un escáner digital y se envía el archivo al laboratorio para ser procesada.

Después
Antes
Después
Antes
Después
Antes
Después
Antes

Programe una evaluación de su salud bucodental con nosotros

This website uses cookies to improve your web experience.