Dentures
Prosthodontics (Implantology)
Dentures
Set of artificial teeth used to replace missing teeth
Dentures are a set of artificial teeth used to replace missing teeth in the mouth. They can refer to full dentures, which replace all the teeth in one arch (upper or lower), or partial dentures, which replace only some teeth in an arch. Dentures are designed to restore chewing function and enhance the aesthetics of the smile, allowing individuals to speak and eat more comfortably. They are typically made from materials like acrylic resin or a combination of metal and plastic to provide durability and a natural appearance.
Dentures
Benefits
Restoration of chewing function
Dentures allow individuals to chew and eat food more effectively, improving their quality of life and nutrition.
Aesthetic improvement
Dentures restore the appearance of a complete smile, which can enhance a person's confidence and self-esteem.
Ease of use
Dentures are easy to remove and wear, allowing users to clean and maintain them properly. They are the most affordable option to replace multiple missing teeth.
When to visit the dentist?
Regular visits to the dentist are recommended.
- Loss of multiple teeth
- Difficulty with traditional dentures
- Loss of bone density
- Difficulty chewing or speaking
- Need for a durable and stable solution
- Aesthetic concerns
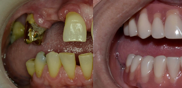
Dentures
Consequences
The absence of teeth can make it difficult to chew food and affect the ability to speak clearly.
Tooth loss can lead to changes in facial appearance, such as sunken cheeks or loss of lip definition.
Not replacing lost teeth can lead to further issues, such as the shifting of adjacent teeth and an increased likelihood of periodontal disease.
What does the service include?
The treatment is painless. If the prosthesis is conventional, impressions are taken with a special material to be sent to the laboratory. If the prosthesis is digital, a digital scan is performed, and the file is sent to the laboratory for processing.
Después
Antes
Después
Antes
