Skip links

Sellantes

Odontología General

Sellantes

Utilizados para prevenir la caries dental

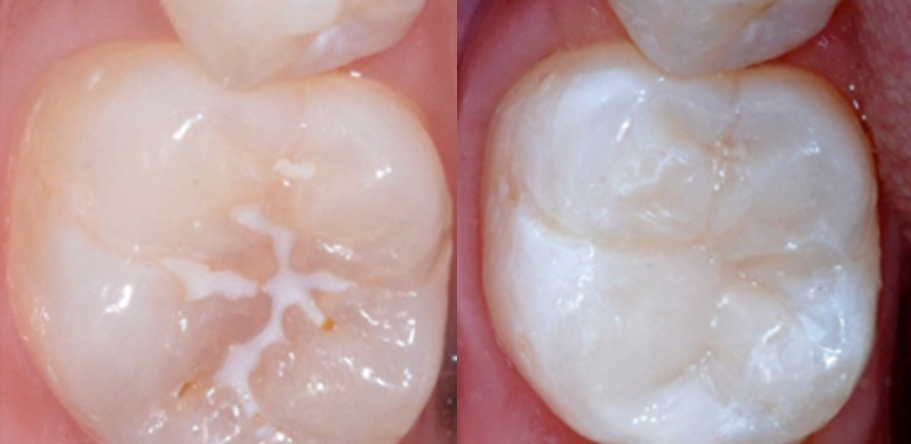
Los sellantes dentales son una capa delgada de material plástico que se coloca en las superficies masticatorias de los dientes, principalmente en los molares y premolares, para prevenir la caries dental. Este material se aplica especialmente en los dientes posteriores, que tienen muchas hendiduras y fisuras donde los restos de comida y las bacterias pueden acumularse, lo que facilita la formación de caries.

Sellantes

Beneficios

Prevención de caries

Ayudan a prevenir la formación de caries, especialmente en los dientes posteriores, donde es difícil limpiar completamente con el cepillo dental.

Durabilidad

Los sellantes pueden durar varios años, brindando una protección continua a los dientes.

Fácil de aplicar

La aplicación de sellantes es rápida, no invasiva, y no causa dolor, lo que lo convierte en un tratamiento cómodo, especialmente para niños.

Economía

Prevenir las caries a través de los sellantes puede ser más económico que tratar las caries una vez que ya se han formado.

¿Cuándo acudir al odontólogo?

Mayor riesgo de caries: Si no se colocan los sellantes, las fisuras en los dientes son más propensas a acumular restos de comida y bacterias. Esto puede llevar a la formación de caries, especialmente en personas que no tienen una higiene bucal perfecta.


Tratamientos más invasivos: Si se desarrollan caries debido a la falta de sellantes, es probable que se necesite una intervención más invasiva como empastes o incluso tratamientos de conductos si la caries es grave.


Desgaste del esmalte: Las fisuras no selladas pueden desgastar el esmalte de los dientes con el tiempo, lo que aumenta el riesgo de sensibilidad dental o fracturas.

Sellantes

Consecuencias

Si no se colocan los sellantes, las fisuras en los dientes son más propensas a acumular restos de comida y bacterias. Esto puede llevar a la formación de caries, especialmente en personas que no tienen una higiene bucal perfecta.

Si se desarrollan caries debido a la falta de sellantes, es probable que se necesite una intervención más invasiva como empastes o incluso tratamientos de conductos si la caries es grave.

Las fisuras no selladas pueden desgastar el esmalte de los dientes con el tiempo, lo que aumenta el riesgo de sensibilidad dental o fracturas.

Después
Antes
Después
Antes

Programe una evaluación de su salud bucodental con nosotros

This website uses cookies to improve your web experience.