Skip links

Tratamiento de Conducto

Endodoncia

Tratamiento de Conducto

Diseñado para tratar infecciones o daños dentro de un diente

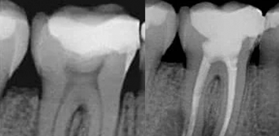
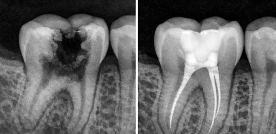
Es un procedimiento dental diseñado para tratar infecciones o daños dentro de un diente. Implica la extracción de la pulpa dental (el tejido blando dentro del diente que contiene nervios y vasos sanguíneos), seguido de la limpieza, desinfección y sellado de los conductos radiculares. Este tratamiento es recomendado cuando la caries esta cerca del nervio y es necesario cuando la pulpa se daña o se infecta a causa de caries profundas, su objetivo es salvar el diente y prevenir su extracción.

Tratamiento de Conducto

Beneficios

Preserva el diente natural

Salva el diente dañado, evitando la necesidad de extracción y manteniendo su función y apariencia.

Alivia el dolor y la infección

Elimina la fuente de dolor e infección, previniendo que se propague a otras áreas de la boca o del cuerpo.

Previene problemas futuros

Al sellar el diente, lo protege de futuras infecciones o complicaciones.

¿Cuándo acudir al odontólogo?

Visitar al dentista regularmente cada 6 meses, y sin duda alguna, cuando hay:


• Caries severas
• Abscesos dentales
• Diente agrietado
• Dolor persistente en el diente
• Sensibilidad al calor y frío
• Oscurecimiento del diente

Tratamiento de Conducto

Consecuencias

La infección puede empeorar y propagarse al hueso circundante u otras partes del cuerpo.

Retrasar el tratamiento puede llevar a procedimientos más costosos y complejos, como implantes o puentes.

¿Que incluye el servicio?

Anestesia local: el dentista determinará si es necesario prescribir antibiótico antes del procedimiento.

Programe una evaluación de su salud bucodental con nosotros

This website uses cookies to improve your web experience.