Skip links

Diseño Sonrisa

Odontología Estética

Diseño de Sonrisa

Procedimientos dentales orientados a mejorar la apariencia de la sonrisa

El diseño de sonrisa es un conjunto de procedimientos estéticos y dentales orientados a mejorar la apariencia de la sonrisa de una persona. Este proceso puede incluir una combinación de tratamientos como blanqueamiento dental, carillas, coronas, ortodoncia y remodelación de encías, entre otros. El objetivo del diseño de sonrisa es armonizar los dientes, encías y la forma facial para lograr una sonrisa más atractiva y proporcionada.

Diseño de Sonrisa

Beneficios

Mejora estética

El diseño de sonrisa puede transformar la apariencia dental de una persona, logrando una sonrisa más atractiva y armoniosa que incrementa la confianza y la autoestima.

Funcionalidad dental

Además de mejorar la estética, el diseño de sonrisa puede corregir problemas funcionales, como problemas de mordida, facilitando la masticación y el habla.

Resultados personalizados

Cada diseño de sonrisa se adapta a las características únicas del paciente, asegurando resultados que reflejan su personalidad y deseos estéticos, logrando una sonrisa que se sienta natural.

¿Cuándo acudir al odontólogo?

  • Desalineación dental
  • Manchas o decoloración
  • Dientes desgastados o erosionados
  • Espacios entre dientes
  • Dientes astillados o fracturados
  • Deseos estéticos personales
Diseño de Sonrisa

Consecuencias

No someterse a un diseño de sonrisa puede resultar en una apariencia dental que no cumpla con las expectativas, lo cual puede afectar la autoestima y la confianza en situaciones sociales.

Sin el diseño de sonrisa, problemas funcionales como la maloclusión pueden persistir, lo que provoca dificultades para masticar o hablar y causa incomodidad.

Ignorar la necesidad de un diseño de sonrisa puede llevar a problemas dentales a largo plazo, como desgaste irregular de los dientes, caries o enfermedades de las encías, debido a la desalineación.

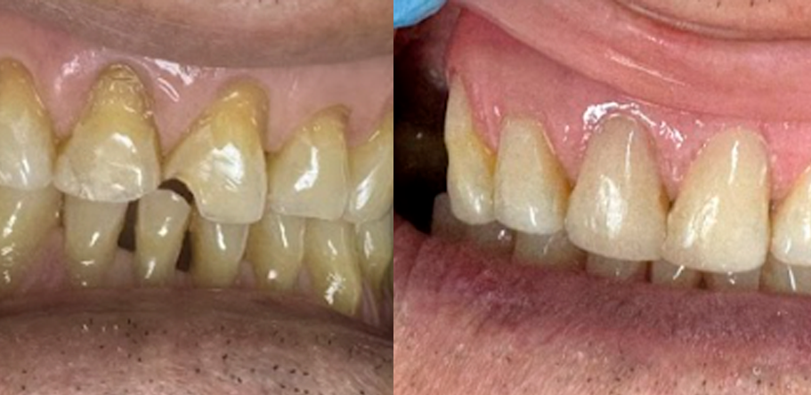
Después
Antes
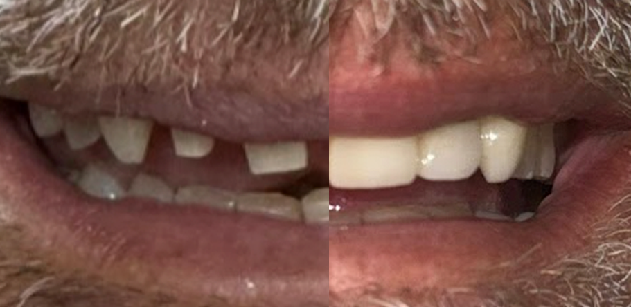
Después
Antes
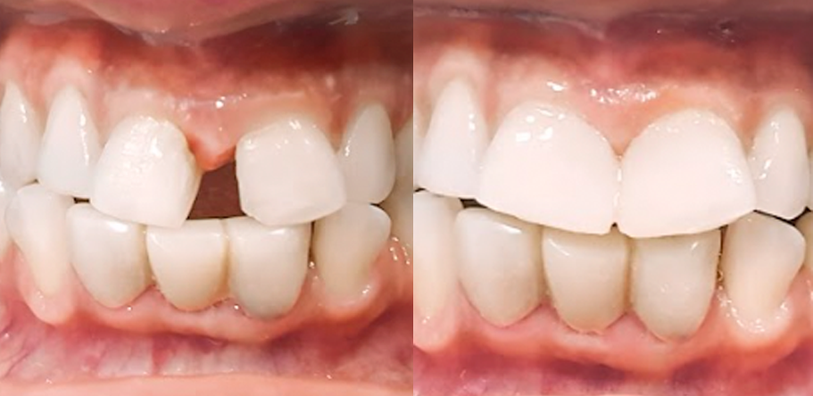
Después
Antes
Después
Antes

Programe una evaluación de su salud bucodental con nosotros

This website uses cookies to improve your web experience.