Skip links

Limpieza Profunda

Periodoncia

Limpieza Profunda

Especializado para tratar la enfermedad de las encías en sus distintas etapas

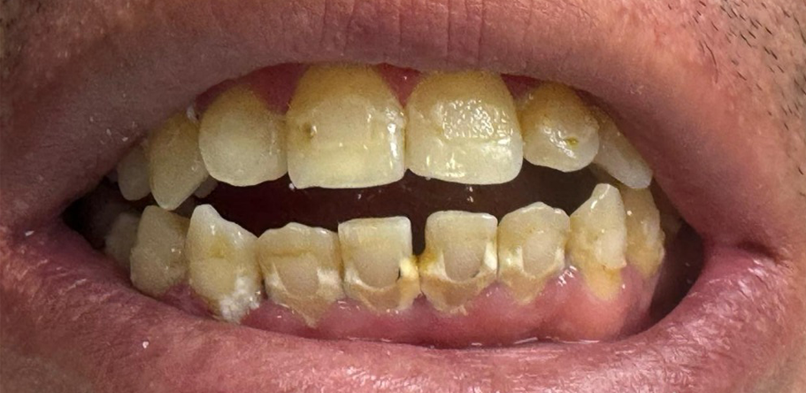
Es un procedimiento dental especializado realizado para tratar la enfermedad de las encías en sus etapas iniciales o avanzadas (gingivitis o periodontitis). A diferencia de una limpieza regular, que se centra en la superficie de los dientes, la limpieza profunda implica eliminar la acumulación de placa y sarro debajo de la línea de las encías. Las raíces de los dientes se limpian a fondo para eliminar bacterias y suavizar áreas rugosas que pueden albergar más bacterias.

Limpieza Profunda

Beneficios

Prevención de la pérdida dental

La limpieza profunda elimina bacterias y sarro debajo de la línea de las encías, ayudando a detener la progresión de la enfermedad periodontal, reduciendo significativamente el riesgo de pérdida de dientes.

Mejora la salud de las encías

Al eliminar la placa y bacterias que causan inflamación, la limpieza profunda permite que las encías sanen y se vuelvan a adherir a los dientes.

Prevención de problemas de salud más graves

La enfermedad periodontal no tratada puede contribuir a problemas de salud más serios, como enfermedades cardíacas y diabetes.

¿Cuándo acudir al odontólogo?

  1. Presencia de bolsas periodontales.
  2. Acumulación de placa y sarro subgingival.
  3. Mal aliento crónico (halitosis).
  4. Recesión de las encías.
  5. Infecciones frecuentes en las encías.
  6. Movilidad dental o dientes flojos.

En caso de limpieza profunda, es necesario un periomantenimiento cada 4 meses.

Limpieza Profunda

Consecuencias

La acumulación continua de placa y sarro bajo las encías puede llevar a la progresión de la enfermedad periodontal.

La acumulación de bacterias y sarro bajo las encías genera un olor constante (halitosis).

Si no se trata, la periodontitis puede causar la pérdida del hueso que sostiene los dientes, lo que eventualmente lleva a la pérdida dental.

¿Que incluye el servicio?

Pulido de dientes, aplicación de flúor, aplicación de varnish (es como una vitamina para el diente) y, en algunos casos, arrestin, que es un antibiótico para ciertas áreas dentales.

Después
Antes
Después
Antes
Después
Antes
Después
Antes

Programe una evaluación de su salud bucodental con nosotros

This website uses cookies to improve your web experience.