Smile Design
Aesthetic Dentistry
Smile Design
Aimed at improving the appearance of a person's smile
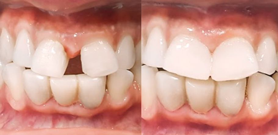
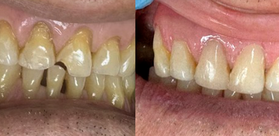
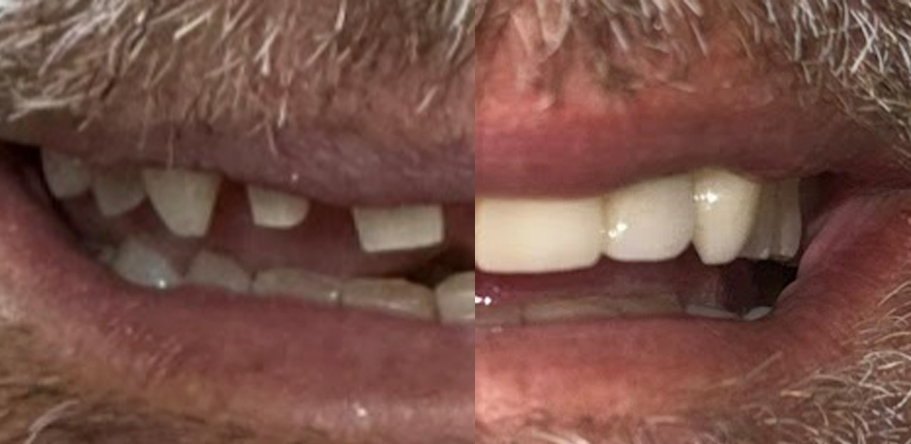
Smile design is a set of aesthetic and dental procedures aimed at improving the appearance of a person’s smile. This process can include a combination of treatments such as teeth whitening, veneers, crowns, orthodontics, and gum reshaping, among others. The goal of smile design is to harmonize the teeth, gums, and facial shape to achieve a more attractive and proportionate smile.
Smile Design
Benefits
Aesthetic improvement
Smile design can transform a person's dental appearance, achieving a more attractive and harmonious smile that boosts confidence and self-esteem.
Dental functionality
In addition to enhancing aesthetics, smile design can correct functional issues, such as bite problems, making chewing and speaking easier.
Personalized results
Each smile design is tailored to the unique characteristics of the patient, ensuring results that reflect their personality and aesthetic desires, resulting in a smile that feels natural.
When to visit dentist?
• Dental misalignment
• Stains or discoloration
• Worn or eroded teeth
• Gaps between teeth
• Chipped or fractured teeth
• Personal aesthetic desires
Smile Design
Consequences
Failing to undergo extraction may lead to prolonged pain and discomfort, affecting the patient's quality of life and daily activities.
If an infection is present, not extracting the tooth may allow the infection to spread to other areas of the mouth or even to the body, which can be potentially dangerous.
Not removing the tooth may cause crowding or malocclusions, complicating future dental treatments and affecting chewing function.
Después
Antes
Después
Antes
Después
Antes
