Deep Cleaning
Periodontics
Deep Cleaning
Dental procedure performed to treat gum disease in its early or advanced stages
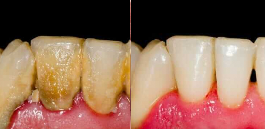
It is a specialized dental procedure performed to treat gum disease in its early or advanced stages (gingivitis or periodontitis). Unlike a regular cleaning, which focuses on the surface of the teeth, deep cleaning involves removing plaque and tartar buildup beneath the gum line. The roots of the teeth are thoroughly cleaned to eliminate bacteria and smooth rough areas that can harbor more bacteria.
Deep Cleaning
Benefits
Prevention of tooth loss
Deep cleaning removes bacteria and tartar below the gum line, helping to stop the progression of periodontal disease, significantly reducing the risk of tooth loss.
Improves gum health
By eliminating plaque and bacteria that cause inflammation, deep cleaning allows the gums to heal and reattach to the teeth.
Prevention of more serious health issues
Untreated periodontal disease can contribute to more serious health problems, such as heart disease and diabetes.
When to visit the dentist?
1.Presence of periodontal pockets.
2. Accumulation of subgingival plaque and tartar.
3. Chronic bad breath (halitosis).
4. Gum recession.
5. Frequent gum infections.
6. Dental mobility or loose teeth.
In case of deep cleaning, a periodontal maintenance is required every 4 months.
Dental Cleaning
Consequences
The cavity will continue to grow, weakening the tooth and causing more damage.
Without treatment, you may experience intense pain and sensitivity to heat, cold, or sweet foods.
If left untreated, the cavity can reach the tooth's root, causing infections that may require more invasive procedures, such as a root canal or extraction.
What does the service include?
Tooth polishing, fluoride application, varnish application (which is like a vitamin for the tooth), and, in some cases, Arrestin, which is an antibiotic for certain dental areas.
After
Before
After
Before
After
Before
After
Before
