Dental Sealants
General Dentistry
Dental Sealants
A thin layer of plastic material applied to the chewing surfaces of teeth
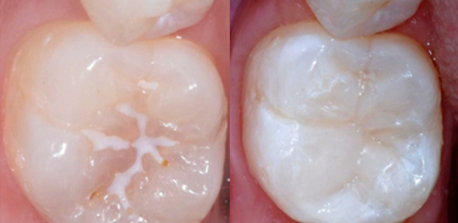
Dental sealants are a thin layer of plastic material applied to the chewing surfaces of teeth, primarily on molars and premolars, to prevent dental cavities. This material is especially applied to the back teeth, which have many grooves and fissures where food particles and bacteria can accumulate, making it easier for cavities to form.
Dental Sealants
Benefits
Cavity prevention
They help prevent the formation of cavities, especially in the back teeth, where it is difficult to clean thoroughly with a toothbrush.
Durability
Sealants can last for several years, providing continuous protection to the teeth.
Easy to apply
The application of sealants is quick, non-invasive, and painless, making it a comfortable treatment, especially for children.
Cost-effective
Preventing cavities through sealants can be more economical than treating cavities once they have already formed.
When to visit the dentist?
• Higher risk of cavities: If sealants are not applied, the grooves in the teeth are more likely to accumulate food particles and bacteria. This can lead to the formation of cavities, especially in individuals who do not maintain perfect oral hygiene.
• More invasive treatments: If cavities develop due to the lack of sealants, more invasive interventions such as fillings or even root canal treatments may be required if the cavity is severe.
• Enamel wear: Unsealed grooves can wear down the enamel of the teeth over time, increasing the risk of dental sensitivity or fractures.
Dental Sealants
Consequences
If sealants are not applied, the grooves in the teeth are more prone to accumulating food particles and bacteria. This can lead to the formation of cavities, especially in individuals who do not maintain perfect oral hygiene.
If cavities develop due to the lack of sealants, more invasive interventions such as fillings or even root canal treatments may be needed if the cavity is severe.
Unsealed grooves can wear down the enamel of the teeth over time, increasing the risk of dental sensitivity or fractures.
Before
After
Before
After
