Root Canal Treatment
Endodontics
Root Canal Treatment
Designed to treat infections or damage within a tooth
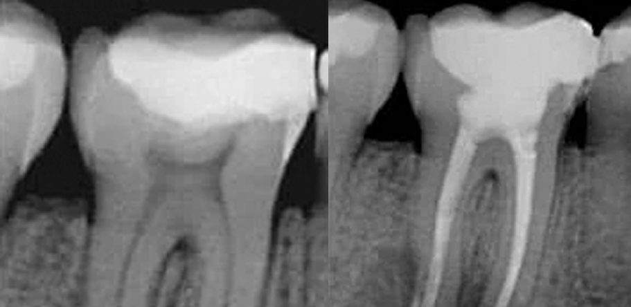
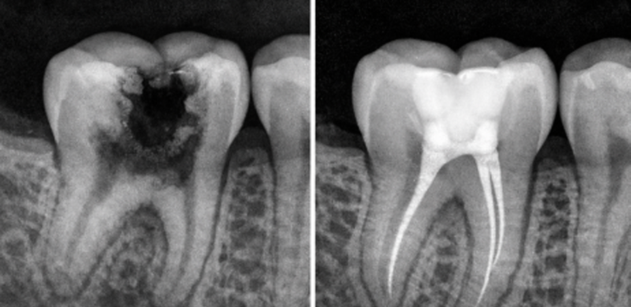
It’s a dental procedure designed to treat infections or damage inside a tooth. It involves removing the dental pulp (the soft tissue inside the tooth that contains nerves and blood vessels), followed by cleaning, disinfecting, and sealing the root canals. This treatment is recommended when the cavity is close to the nerve and is necessary when the pulp gets damaged or infected due to deep cavities. Its goal is to save the tooth and prevent it from being extracted.
Root Canal Treatment
Benefits
Preserves the natural tooth
Saves the damaged tooth, avoiding the need for extraction and maintaining its function and appearance.
Relieves pain and infection
Removes the source of pain and infection, preventing it from spreading to other areas of the mouth or body.
Prevents future problems
By sealing the tooth, it protects it from future infections or complications.
When to visit the dentist?
Visit the dentist regularly every 6 months, and definitely if you have:
- Severe cavities
- Dental abscesses
- A cracked tooth
- Persistent tooth pain
- Sensitivity to hot and cold
- Tooth darkening
Root Canal Treatment
Consequences
The infection can worsen and spread to the surrounding bone or other parts of the body.
Delaying treatment may lead to more costly and complex procedures, such as implants or bridges. This treatment is recommended when the cavity is close to the nerve and the tooth can still be saved from extraction.
What does the service include?
Local anesthesia: The dentist will determine if it is necessary to prescribe antibiotics before the procedure.
