Crowns & Bridges
Prosthodontics (Implantology)
Crowns & Bridges
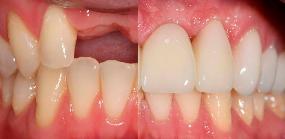
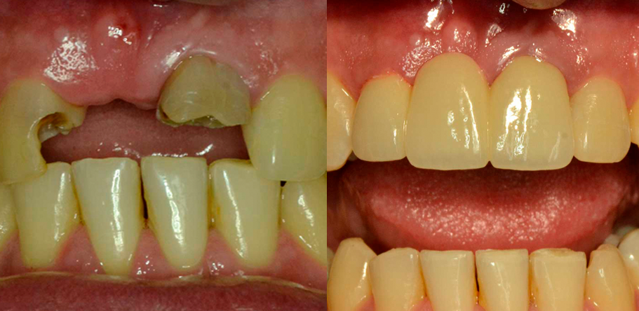
Structure to replace one or more missing teeth
A dental bridge is a structure used to replace one or more missing teeth. It consists of crowns placed over the adjacent teeth to the gap (the abutment teeth) and one or more artificial teeth (pontics) in the middle to fill the missing tooth space. Bridges can be made of porcelain, metal, or a combination of both, and are a fixed solution, meaning they cannot be easily removed like a removable denture.
Crowns & Bridges
Beneficios
Restoration of dental function
Crowns and bridges help restore the ability to chew and speak properly, improving overall dental function.
Aesthetic improvement
Both crowns and bridges can enhance the appearance of the smile by filling empty spaces and covering damaged teeth.
Protection of weakened teeth
Crowns protect teeth that are weakened or damaged, preventing fractures or further deterioration. Bridges, on the other hand, help maintain the alignment of remaining teeth, preventing them from shifting.
When to visit the dentist?
Regular visits to the dentist every 6 months will ensure less invasive treatments and solutions to major problems, such as:
• Damaged or fractured tooth
• Large cavities
• Aesthetic concerns
• Replacement of a missing tooth
Crowns & Bridges
Consequences
Not replacing missing teeth or protecting damaged teeth can lead to difficulties with chewing and speaking.
The absence of a tooth can cause adjacent teeth to shift into the empty space, which could lead to alignment and bite problems in the future.
Damaged teeth that are not protected with crowns may continue to deteriorate and eventually require extractions or more invasive treatments.
Since teeth are related to aesthetics.
Después
Antes
Después
Antes
Después
Antes
Después
Antes
