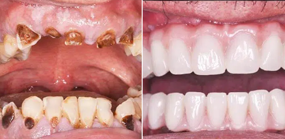
Overdentures
Prosthodontics (Implantology)
Overdentures
Designed to improve stability and functionality compared to traditional dentures
A overdenture is a type of fixed or semi-fixed dental prosthesis that fits over dental implants. Overdentures are designed to improve stability and functionality compared to traditional dentures, as the implants they rest on provide additional support.
Overdentures
Benefits
Stability and Comfort
Overdentures are anchored to implants, providing stability and comfort, making chewing and speaking easier.
Preservation of the Jawbone
Supported by implants, overdentures help prevent bone loss, maintaining facial structure and avoiding changes in appearance over time.
Aesthetics and Natural Appearance
Overdentures offer a natural look and fit comfortably along the gums. They also allow for savings by preventing the loss of teeth. They are ideal for patients with psychiatric conditions or Alzheimer's.
¿When to visit the dentist?
Regular visits to the dentist are recommended.
• Loss of multiple teeth
• Difficulty with traditional dentures
• Loss of bone density
• Difficulty chewing or speaking
• Need for a durable and stable solution
• Aesthetic concerns
Overdentures
Consequences
Without the support of implants, the jaw can lose bone density over time, affecting facial structure.
The absence of several teeth can impact confidence and the overall appearance of the smile. Additionally, it can make chewing food more difficult, leading to digestive problems and other issues.
Dentures are often removed during sleep, and they may fall out, break, or get lost, resulting in the need to invest in a new prosthesis.
What does the service include?
The treatment is painless as local anesthesia is applied. In many cases, synthetic bone is recommended to provide better support for the implant. A CBCT (3D radiology) is also recommended to determine if the implant can be placed.
Después
Antes
Después
Antes
Después
Antes
Después
Antes
