Clear Aligners
Orthodontics
Clear Aligners
Transparent, removable orthodontic devices designed to correct dental misalignment
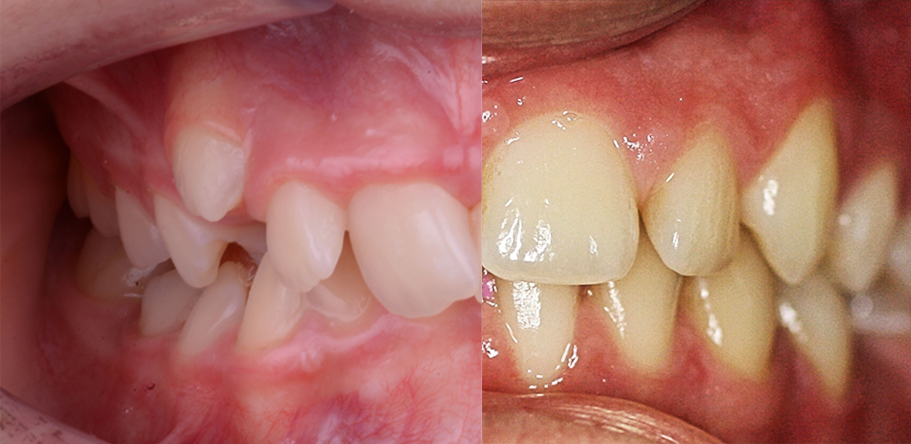
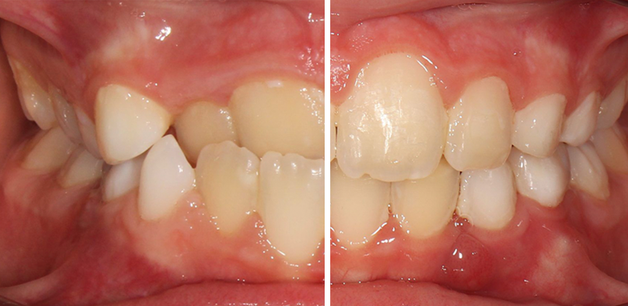
Dental aligners are transparent, removable orthodontic devices designed to correct dental misalignment and malocclusion issues. Unlike traditional braces, aligners are nearly invisible and are custom-made for each patient using 3D imaging technology. These devices are used to gradually move the teeth into the desired position, providing a more aesthetic and comfortable option for those looking to improve their smile.
Clear Aligners
Benefits
Aesthetic and Discreet
Dental aligners are transparent, making them almost invisible when worn.
Comfort
Being removable, dental aligners offer great comfort for eating, brushing, and flossing, making oral hygiene easier.
Fewer Visits to the Orthodontist
Generally, treatments with dental aligners require fewer visits to the orthodontist, as the treatment is digitally planned, and patients receive multiple sets of aligners at once. Additionally, the follow-up is personalized through an app on the phone, using the latest technology to provide comfort to the patient.
When to visit the dentist?
• Visit the dentist every 6 months for a dental check-up.
• Crowded teeth
• Spaces between teeth
• Crossbite
• Open bite
• Deep bite
• Maintenance treatments
Clear Aligners
Consequences
Failing to correct dental alignment issues can lead to malocclusion, which may cause difficulty chewing and jaw problems.
Misaligned teeth are more difficult to clean properly, increasing the risk of cavities and periodontal diseases in the long term.
Having misaligned teeth can affect a person's confidence and self-esteem, influencing their social and professional interactions.
What does the service include?
An evaluation is needed to determine if the patient is suitable for the treatment. The treatment includes aligners, a mobile app for follow-up, a retainer kit and a night guard, as well as photographs taken throughout the process to ensure the success of the treatment.
Después
Antes
Después
Antes
Después
Antes
Después
Antes
