Dental Cleaning
General Dentistry
Dental Cleaning
Removes plaque, tartar and surface stains from your teeth
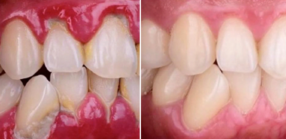
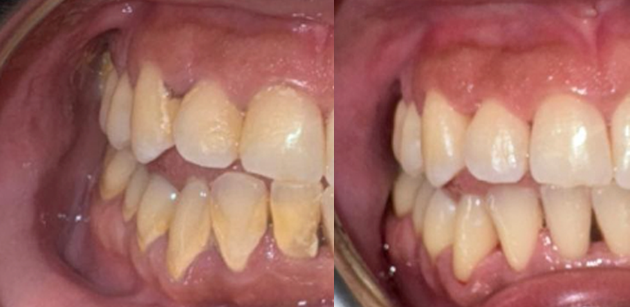
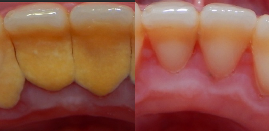
It is a procedure performed by a dentist or dental hygienist to remove plaque, tartar, and superficial stains from the teeth. It involves the use of specialized tools to clean between the teeth and below the gum line, helping to prevent dental problems such as cavities and gingivitis. It also leaves the teeth cleaner and helps reduce bad breath. There are 3 types of dental cleanings:
- Regular cleaning (the least invasive cleaning, when the gums are healthy and proper hygiene has been maintained).
- Intermediate cleaning (a device called Cavitron is used, which helps remove accumulated plaque between the teeth; plaque or dental bacteria is found on the surface of the teeth).
- Deep cleaning (when plaque and tartar accumulate beneath the gums, and local anesthesia is needed to perform root scaling and remove them; this should be recommended by the dentist, as it is usually detected through dental X-rays).
Dental Cleaning
Benefits
Prevention of cavities:
Prevents plaque and tartar, helping to keep your teeth healthy and strong.
Improvement of gum health
Regular dental cleanings help prevent gum diseases, such as gingivitis and periodontitis, reducing the risk of tooth loss.
Fresh breath and whiter teeth
Cleanings remove bacteria that cause bad breath and superficial stains, improving the appearance of your teeth and leaving your breath fresher.
When to visit thedentist?
The frequency with which these procedures should be performed depends on each patient and is determined by the dentist. Ideally, a dental cleaning should be done every 6 months.
Dental Cleaning
Consequences
The buildup of plaque and tartar without proper cleaning can significantly increase the risk of developing cavities, which may require fillings or more invasive treatments.
Without the removal of bacteria and tartar, the gums can become inflamed, bleed, and eventually develop serious conditions such as periodontitis, which can lead to tooth loss.
The accumulation of bacteria on the teeth and gums can cause chronic bad breath, affecting personal confidence and overall oral health.
What does the service include?
The cleaning recommended by the dentist includes tooth polishing, fluoride application, varnish application (which is like a vitamin for the tooth), and in some cases, Arrestin, which is an antibiotic applied to certain dental areas.
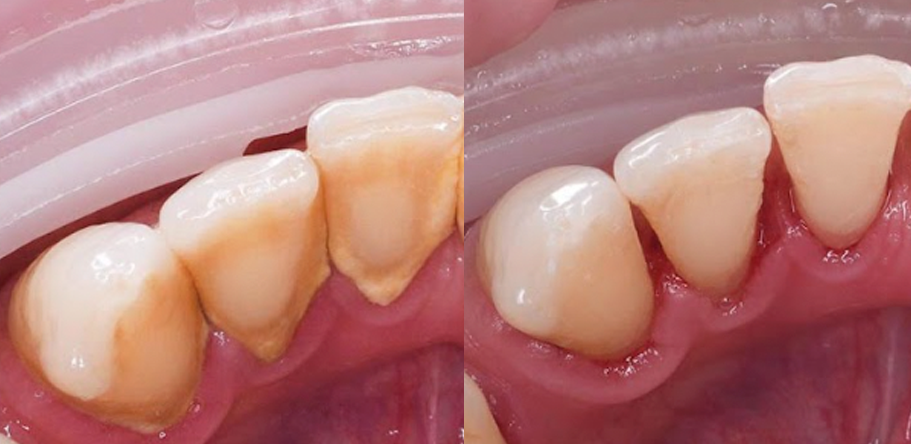
Before
After
Before
After
After
Before
