Laser Teeth Whitening
Aesthetic Dentistry
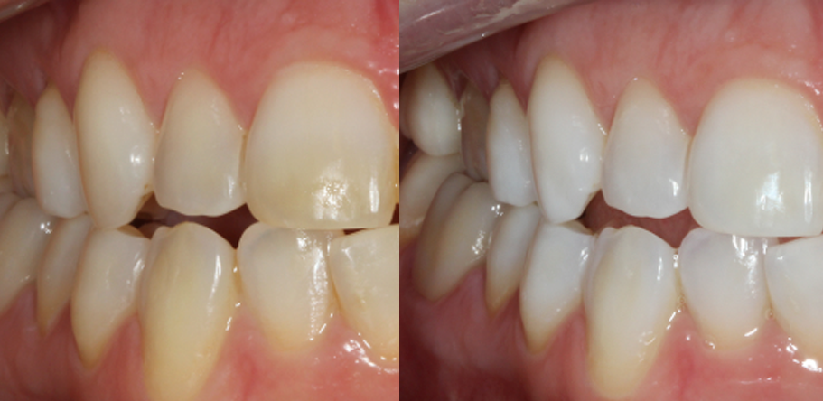
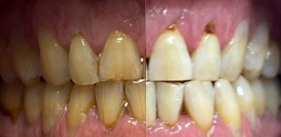
Laser Teeth Whitening
Performed to lighten the color of the teeth by removing stains or discoloration
It is an aesthetic procedure performed to lighten the color of the teeth by removing stains or discoloration. It involves the use of bleaching agents which penetrate the tooth enamel to eliminate deep stains caused by food, beverages, tobacco, or aging.
Laser Teeth Whitening
Benefits
Quick and effective results
Laser teeth whitening provides visible results in just one session, lightening the teeth by several shades in a short period of time.
Precise and safe treatment
The use of lasers allows for controlled and targeted application of the bleaching agent, reducing the risk of gum irritation.
Long-lasting results
The results of laser teeth whitening tend to last longer with good dental hygiene habits, providing a brighter smile for several months or even years.
When to visit the dentist?
• Tobacco stains
• Age-related darkening of teeth
• After orthodontic treatment
Laser Teeth Whitening
Consequences
Stains from coffee, tea, tobacco, or red wine can accumulate over time, making teeth appear dull or discolored.
As we age, teeth naturally darken. Without laser whitening, teeth may remain yellowish or grayish, impacting confidence when smiling.
Después
Antes
Después
Antes
Después
Antes
What does the service include?
We only offer one type of laser whitening using Philips technology, which is the best on the market. Laser whitening can be done after a dental cleaning. In addition, we provide the patient with an additional kit for maintenance. This kit is easy to use at home.
