Braces
Orthodontics
Braces
used to improve the smile, function, and aesthetics of their patients.
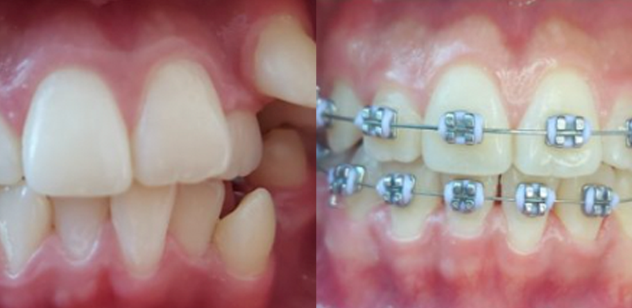
Braces are a type of fixed orthodontic appliance that can be made of metal, composite, or ceramic. They are currently the most commonly used appliances by orthodontists to improve the smile, function, and aesthetics of their patients.
Braces
Benefits
Aesthetic smile and confidence
An aligned and harmonious smile enhances appearance and boosts personal self-esteem.
Long-term oral health
By correcting bite issues and aligning the teeth, dental hygiene becomes easier, reducing the risk of cavities and periodontal diseases.
Improved pronunciation and facial function
In some cases, bite problems can affect pronunciation and facial function. Braces can correct these issues, improving the patient's quality of life.
When to visit the dentist?
- Visit the dentist every 6 months for a dental check-up.
- Crooked teeth
- Spaces between teeth
- Crossbite
- Open bite
- Deep bite
- Maintenance treatments
Braces
Consequences
eaving dental alignment problems untreated can lead to more severe problems in the future, such as periodontal disease, tooth loss, premature enamel wear, and temporomandibular joint (TMJ) disorders.
Crooked or misaligned teeth are harder to clean, which increases the risk of plaque buildup and the development of cavities.
A misaligned smile or incorrect bite can negatively affect self-esteem and confidence, particularly in social interactions.
What does the service include?
An evaluation is needed to determine if the patient is suitable for the treatment. This includes photographs throughout the treatment, monthly appointments and adjustments, retainers, and a night guard.
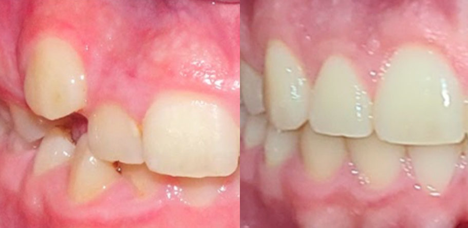
Después
Antes
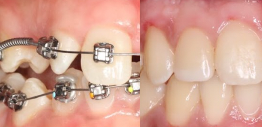
Después
Antes
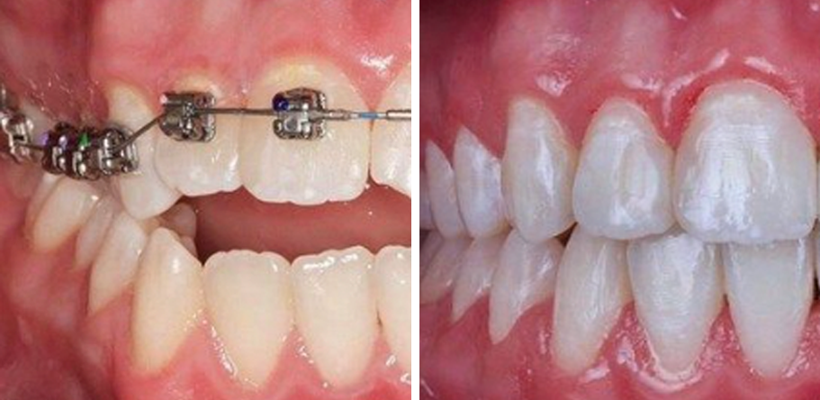
Después
Antes
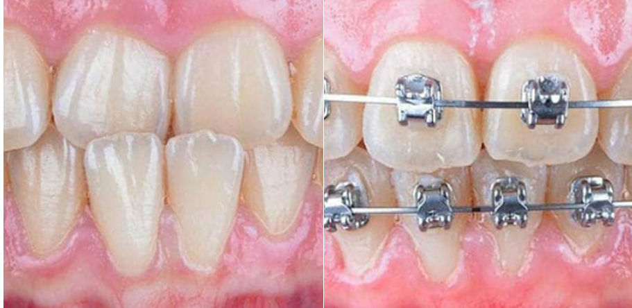
Después
Antes
