Dental Fillings
General Dentistry
Dental Fillings
Procedure for repairing damaged teeth
A dental filling is a treatment used to fix teeth that have been damaged by cavities, cracks, or wear. They remove the affected part of the tooth and replace it with a special material, like composite resin
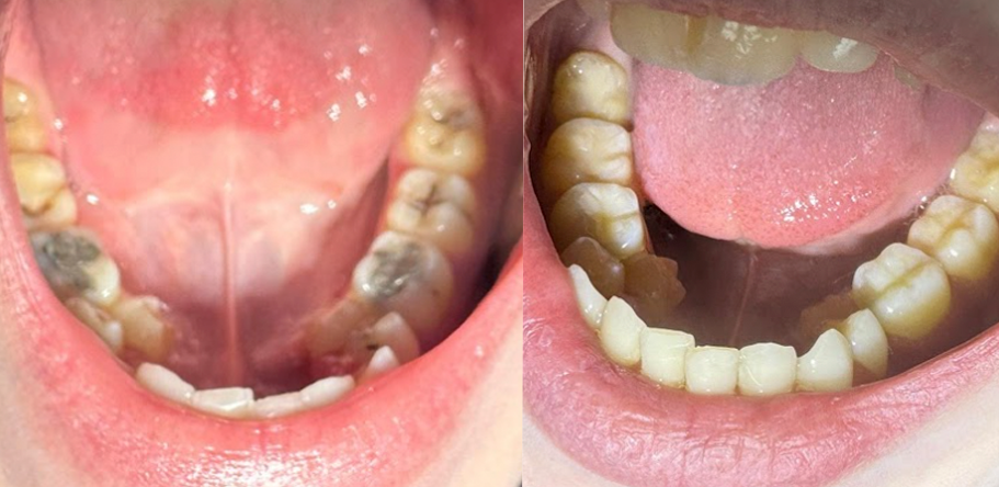
Dental Filling
Benefits
Prevents the spread of cavities
Stops the cavity from spreading, preventing further damage to the tooth.
Restores dental function
Helps restore the ability to chew properly without pain or discomfort.
Improves dental aesthetics
Modern fillings can match the natural color of the tooth, enhancing its overall appearance.
Eliminates sensitivity and pain
When to visit the dentist?
- Visit the dentist regularly every 6 months to address any issues in a timely manner.
- Pain that worsens when eating or drinking something sweet, cold, or hot.
- Presence of holes in one or more teeth.
- Brown or white spots on the surface of the tooth.
- Sensitivity when touching a tooth.
- Swollen and painful gums.
Dental Fillings
Consequences
The cavity will continue to grow, weakening the tooth and causing more damage.
Without treatment, you may experience intense pain and sensitivity to heat, cold, or sweet foods.
If left untreated, the cavity can reach the tooth's root, causing infections that may require more invasive procedures, such as a root canal or extraction.
What does the service include?
Local anesthesia: The patient will not feel pain. The material we use is resin, as amalgam is prohibited by the Department of Health.
Después
Antes
Después
Antes
Después
Antes
Después
Antes
