Skip links

Dental Emergencies

Dentistry

Dental Emergencies

Situations related to the teeth, gums, or jaw that requires immediate medical attention

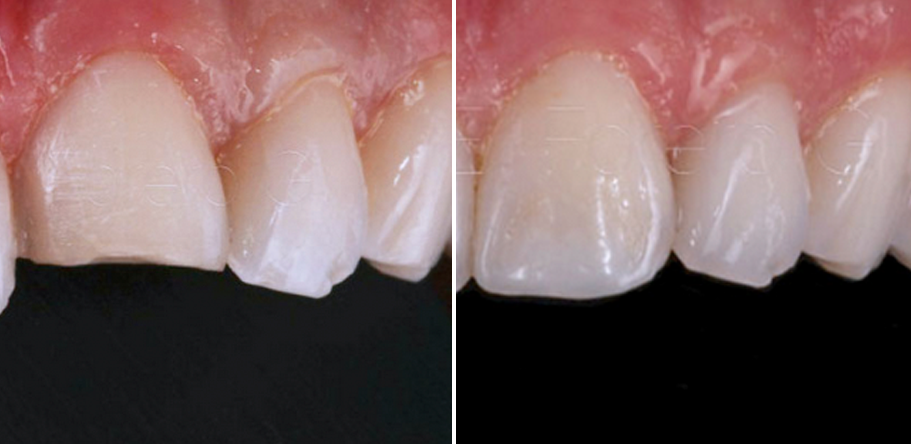
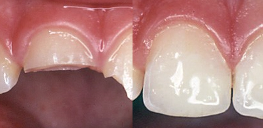
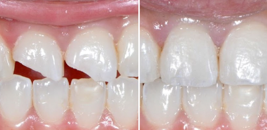
Any situation related to the teeth, gums, or jaw that requires immediate medical attention to relieve intense pain, stop bleeding, or save a tooth. Dental emergencies include situations such as broken or avulsed teeth, abscesses, severe infections, or unbearable pain that doesn’t improve with over-the-counter painkillers. Quick intervention can prevent more serious complications and help preserve oral health.

Dental Emergencies

Benefits

Dental emergencies are recommended for anyone who experiences dental problems that require immediate attention due to pain, risk of infection, or damage to the dental structure. It relieves pain and discomfort.

When to visit the dentist?

  • Accident-related impact
  • Dental fractures
  • Acute pain or hypersensitivity
  • Aesthetic damage to veneers or crowns
  • Bleeding or inflammation
  • Issues with orthodontic appliances
Dental Emergencies

Consequences

A damaged, fractured, or infected tooth that is not extracted can cause constant pain and increase discomfort in daily life.

Ignoring the symptoms of a dental emergency can lead to long-term dental problems.

What does the service include?

In case of needing antibiotics, pain prescription, or application of the necessary treatment for immediate resolution.

Schedule an evaluation of your oral health with us

This website uses cookies to improve your web experience.